Dr Jérôme Weinman chirurgien dentiste à Paris et à Genève

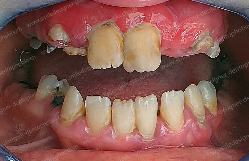
Situation clinique initiale
Fin de traitement
situation
initiale
fin de
traitement